3D-geplante Schulterprothesen: Präzision für ein besseres Lebensgefühl?

Expertentipps von OÄ Dr. Lucie Strehn: Schulterschmerzen können das Leben ganz schön schwer machen – jede Bewegung tut weh, das Anziehen oder das Heben von Dingen wird zur Herausforderung.
Wenn konservative Therapien nicht mehr helfen, kann eine Schulterprothese die Lebensqualität enorm verbessern. Aber wie sorgt man dafür, dass das neue Gelenk wirklich perfekt passt? Die Antwort: mit moderner 3D-Planung!
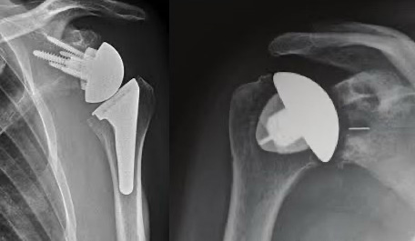
Eine 3D-geplante Schulterprothese ist ein künstliches Schultergelenk, das mithilfe modernster Bildgebung exakt an den Körper des Patienten angepasst wird. Vor der Operation wird ein spezielles CT (Computertomografie) durchgeführt. Aus diesen Bildern wird ein dreidimensionales Modell der Schulter erstellt.
Dieses Modell zeigt genau, wie Knochen und Gelenk aufgebaut sind – auch kleine Abweichungen oder Schäden werden sichtbar. So kann Dr. Lucie Strehn die Operation optimal vorbereiten und die Prothese ganz individuell anpassen.
"Mit der 3D-Planung kann ich die Operation schon vor dem ersten Schnitt exakt durchdenken und vorbereiten," erklärt Dr. Strehn. "Das gibt nicht nur mir als Ärztin mehr Sicherheit – auch meine Patientinnen und Patienten profitieren davon, weil wir präziser und schonender arbeiten können."
Hier gehts zur Online-Terminvereinbarung: https://www.appointmed.com/booking/1606948
Bessere Passform:
Die Prothese wird perfekt an die jeweilige Anatomie angepasst.
Mehr Sicherheit:
Die genaue Planung reduziert das Risiko von Komplikationen.
Schnellere Heilung:
ab dem 1. Tag nach der OP beginnt man schon mit Physiotherapie, sodass rasch eine gute Beweglichkeit erreicht wird
Längerer Halt:
Eine optimal eingesetzte Prothese hält in vielen Fällen länger.
Für wen ist eine Schulterprothese sinnvoll?
Eine Schulterprothese kommt meist dann zum Einsatz, wenn das Gelenk stark abgenützt ist – zum Beispiel bei Arthrose, nach Unfällen oder bei schweren Rotatorenmanschettenrissen.
"Manchmal haben meine Patientinnen und Patienten schon einen langen Leidensweg hinter sich, bevor sie zu mir kommen," erzählt Dr. Strehn. "Umso schöner ist es, wenn sie nach der Operation wieder aktiv am Leben teilnehmen können."
In der freundlichen Praxis von Dr. Lucie Strehn in Hietzing nehmen sich Dr. Strehn und ihr Team viel Zeit für eine umfassende Beratung. Gemeinsam wird entschieden, ob eine Schulterprothese der richtige Schritt ist und welche Möglichkeiten es gibt.
"Mir ist wichtig, dass sich jeder gut aufgehoben fühlt," sagt Dr. Strehn. "Bei uns steht der Mensch im Mittelpunkt, nicht nur die Diagnose."
Vereinbaren Sie noch heute einen persönlichen Beratungstermin bei Dr. Lucie Strehn.?Gemeinsam finden wir den besten Weg zu neuer Beweglichkeit und Lebensfreude!



